Search
Directions

Dk

Overview
Products and services
News
1
Photos
81
Reviews
46
Features
Rating 4.9
77 ratings
Rate this place

46 reviews

By default
Владимир
Level 3 Local Expert
November 11, 2025
Сама клиника небольшая, но люди там душевные) Пришёл с проблемой: щелчки челюсти справа при жевании и открывании рта. Для начала поставили брекеты, с которыми я проходил год, вот недавно их сняли. Также, удалял зубы мудрости все 4 штуки, прошло всё очень даже хорошо. Ещё надо было нарастить высоту зубов для правильного положения суставной головки, что тоже было сделано. В итоге: щелчки практически исчезли ( полностью их уже не убрать), результат достигнут. Хочется отметить дружелюбную атмосферу в которую пропадаешь- встретят с улыбкой, всё объяснят, покажут, расскажут. О приёме напоминают за день до визита-удобно! Спасибо за работу и внимание🤝
3
Show business's response
Мавзуна
Level 3 Local Expert
December 22, 2025
Я не один год искала опытного ортодонта, так как другие врачи неуверенно назначали лечение и говорили, что нельзя исправить прикус без операции. Однако моя подруга посоветовала Рагиба Рамисовича, который уверенно говорил, как будет проходить лечение и в какой срок мы управимся. Я сразу поняла, что это мой врач и начала лечение вместе с ним. Было трудно и тяжело, но результат стоит всех переживаний. Осуществилась моя мечта о прекрасной улыбке и смехе без стеснения! Не бойтесь меняться в лучшую сторону и тратить деньги на себя и на свое здоровье! Рекомендую данного врача и хочу, чтобы все люди, у которых есть проблемы с прикусом или неровными зубами, смело записывались в D.K.Stom, так как все ваши ожидания оправдаются! Также благодарю за доброе отношение администратора, ассистентов и терапевтов!
1
Денис Лукьянов
Level 3 Local Expert
December 10, 2025
Отзывчивый и приветливый персонал. Спасибо большое клинике. Исправили кривизну зубов и прикус. Прямые зубы - это "бонус". Осной "плюс" этого шага - ушла напряжëнность во всëм теле. Отдельное спасибо профессиональному врачу Рагибу Рамисовичу. Всегда приятно с ним общаться и шутить. Опытный "Врач-профессионал своего дела". Имеет к каждому пациенту свой подход. Всем рекомендую эту клинику.
1
Анастасия П.
Level 5 Local Expert
December 10, 2025
Очень приятная атмосфера начиная с ресепшена. В клинике тихо, чисто. Все сотрудники очень милые☺️ Делала проф чистку. Врач очень скурпулезно все сделала, а также дала рекомендации по лечению и уходу. Все прошло очень комфортно, обязательно вернусь еще! Важный плюс, что нет навязывания услуг. 🙏Пожалуйста, поставьте в кабинете стульчик для сумки
1
Ирина М.
Level 3 Local Expert
December 7, 2025
Очень давно посещаю эту клинику, поэтому хочу сказать большое спасибо, Рагибу Рамисовичу он ставил мне импланты, и вот уже несколько лет они стоят как родные. И всегда после посещения этой клиники, я уверена, что эта работа стоматолога,будет радовать меня долго, и будьте уверены, что после посещения клиники, вы будите довольны работой стоматологов.
1
Махина Исмоилова
Level 5 Local Expert
December 10, 2025
Мой путь лечения был долгим, сначала я пошла к одному ортодонту, который назначил некорректное лечение, я потратила много денег и целый год впустую, после я нашла DK Stom, где мне объясняли, что и как мы будем делать на каждом этапе, Рагиб Рамисович настоящий профессионал своего дела, я доверилась и не разочаровалась! Результат стоит всех усилий и денег, ни о чем не жалею! Спасибо большое за красивую улыбку, теперь можно смеяться, не стесняясь)
1
Danil Vtylkin
Level 4 Local Expert
December 13, 2024
Любовь Дамбаевна, этот специалист взялась за мою экстренную ситуацию и избавила от зубной боли, которая длилась 4 дня. У меня воспалился ранее дважды пролеченный зуб, в государственных клиниках. Два раза мне чистили каналы на снимке КТ нашли кисту. Другие врачи к которым я обращался настаивали /убеждали/врали/ запугивали, что зуб подлежит удалению , ни каких вариантов кроме лечению зуба под микроскопом или удаления нет. В эту клинику я попал случайно, так как живу недалеко и отчаянно перебирал все варианты . Я очень рад , что мне помогли сохранить мой зуб, самое главное взялись за трудную работу🙏
6
2
Show business's response
И .
Level 3 Local Expert
July 9, 2025
Хочу выразить огромную благодарность клинике DKstom и лично врачу-ортодонту Рагибу Рамисовичу за прекрасную работу! Два года назад поставили брекеты, и весь процесс прошел на высшем уровне. Врач всегда подробно объяснял все этапы лечения, отвечал на все вопросы. Результат превзошел все наши ожидания - ровные зубы и красивая улыбка! Недавно брекеты сняли, безумно довольны.Рекомендую всем, кто мечтает о здоровой и красивой улыбке, обратиться в эту клинику!
4
Show business's response
Nadya G.
Level 5 Local Expert
June 16, 2025
Однажды я пришла на обычную чистку, причем по купону.....а дальше как в тумане😄 На сегодняшний день я относила 2 года брекеты, прошла и через удаление, и ортодонтическое лечение, и могу смело сказать - здесь работают профессионалы! Огромное спасибо хочется выразить всей команде и в частности Рагибу Рамисовичу за грамотную работу и приобретенные знания! Рекомендую⭐️
3
2
Show business's response
Влад Зворыгин
Level 5 Local Expert
January 26, 2025
Мое знакомство с этим местом началось с года 3 назад, я тогда только переехал в Питер, и давеча вечером у меня отвалилась часть зуба, меня это насторожило, но я не предал этому значения, через месяц, я все таки решился этим заняться и начал искать клинику, выбор пал на DK Storm, отзывы были хорошие да и не далеко, мы буквально были соседями, вот я и решил доверится, Рагиб Рамисович показался профессионалом с большой буквы, который знает толк в своем деле, после осмотра, оказалось, что не зря я пришел, выяснилось, что у меня зарос один из каналов, а на секундочку зуб который дал сбой уже лечился и при лечении один из каналов пропустили, вот так лечат в Томских стоматологиях, мне тут же назначили лечение и занялись моим зубов, буквально пару посещений и зуб был как новенький, все закончилось хеппиендом. Я потом еще не один раз обращался к ним за лечением кариеса, коих у меня, как выяснилось после осмотра, приличное количество. Но самое интересное впереди, когда я на одном из посещений узнал, что сейчас скидки на установку брекетов, а мне давно говорили, что надо бы заняться прикусом, да и друзья советовали поставить, ну и я не долго думая оплатил и поставил. Было больно, было тяжко, но как же сладок результат после пройденного пути в почти 2 года, мне еще в последствии поставили имплант, это был мой первый опыт, но об этом как-нибудь в следующий раз. В общем с пару дней назад мне сняли брекеты, какие же красивые зубы стали, словно сошел со страниц глянцевых журналов, улыбка на миллион. Хочу сказать всему персоналу DK Storm - Спасибо!
4
2
Show business's response
Ольга Ерохина
Level 5 Local Expert
November 19, 2024
Прошла ортодонтическое лечение в данной клинике. Врачи берутся за тяжелые случаи, имеют широкий спектр компетенций. Сама клиника чистая, оборудование новое. Персонал отзывчивый, качественно и быстро делают работу. Стоимость услуг адекватная. Нагрузка у врачей высокая, записываться нужно сильно заранее - это единственный минус.
7
2
Show business's response
Kirill F.
Level 5 Local Expert
November 3, 2024
Большое спасибо, Рагибу Рамисовичу и всей клинике, что воплотили мою мечту и сделали ровную улыбку. Почти три года заняло лечение: — ношение брекетов — удаление всех восьмерок — три имплантации Все это были непростые случаи, и благодаря профессионализму врачей клиники со всем удалось справиться. Совершенно точно рекомендую клинику Dk и сам в дальнейшем планирую обращаться туда по всем зубным вопросам
4
3
Show business's response
Александра К.
Level 2 Local Expert
August 28, 2025
Хочу выразить огромную благодарность всему коллективу клиники D.K. Stom за проделанную работу! Решение установить брекеты было непростым, я долго изучала отзывы и выбирала специалиста. И ни разу не пожалела, что остановилась на этой клинике. На первой консультации доктор все подробно объяснил: какой тип брекетов мне подходит лучше всего, как долго продлится лечение, какую сумму предстоит инвестировать. Мне составили подробный и прозрачный план лечения без скрытых платежей. Сам процесс установки прошел комфортно. На каждом визите доктор внимательно все проверял, давал подробные рекомендации по уходу. Конечно, были периоды дискомфорта после активации, но персонал всегда предупреждал об этом и советовал, как облегчить ощущения. Особо хочу отметить, что в клинике современное оборудование, а цены абсолютно адекватные за такое высокое качество услуг. Результат превзошел все мои ожидания! Я не только получила ровные зубы, но и исправила проблемы с прикусом, о которых даже не подозревала. Однозначно рекомендую эту клинику всем, кто задумывается об ортодонтическом лечении. Это профессионалы своего дела!
5
Show business's response
Ирина Абдуллина
Level 7 Local Expert
December 19, 2024
Отличная клиника. Сперва я тут лечила зубы, после чего мне поставили брекеты, которые я носила всего 1.5 года. Мне и поднимали высоту прикуса микровинтами. По окончанию лечения мне наращивали зубы, все сделали очень аккуратно. Все консультации были бесплатными. Персонал клиники отзывчивый и компетентный, не навязывают лишнего. Лучшая цена в этом районе
4
2
Show business's response
елена орлова
Level 2 Local Expert
October 31, 2024
Клинику DK посещала около 3-х лет , почти 2 года ходила с брекетами, параллельно поставили 7 имплантов , потом ортопедия: коронки , виниры . Пришла с кривыми ,а местами и отсутствующими зубами , плюс от природы желтоватыми , а теперь улыбаюсь с удовольствием , с гордостью . Спасибо огромное ! Всем рекомендую
6
2
Show business's response
Владислав Драгунов
Level 3 Local Expert
December 4, 2025
Вот уже несколько лет прохожу различные лечения в данной стоматологии,все виды услуг предоставленные мне, были проведены качественно и быстро,искренне рекомендую всем и благодарна за то ,что уже на финале к улыбке мечты💜
1
Анна Цыганчикова
Level 8 Local Expert
September 11, 2025
Здесь работают только профи своего дела. Очень скрупулезно подходят ко всем процессам. Внимательнее врачей я ещё не встречала. Не боятся никаких сложностей. Вся работа выполняется на 10 из 10. Сопровождение, рекомендации. Тот случай, когда люди делают все как будто для себя, отсюда и подход всегда индивидуальный. Желаю дальнейшего процветания и держать эту марку и в последующем.
3
Show business's response
Р.А.
Level 2 Local Expert
July 9, 2025
Огромная благодарность специалистам клиники DK Stom! Было удаление восьмёрок, ношение брекетов, лечение кариеса и имплантация. Все прошло замечательно. Спасибо за индивидуальный подход и профессионализм🫶!
3
Show business's response
Natalya N
Level 3 Local Expert
May 30, 2024
Долгое время хрустела сустав челюсти и я всё это время игнорировала, и зубы кривые уже давно. Но настал тот день когда я не могла открыть челюсть и начала искать врача. Порекомендовали знакомые ортодонта и гнатолога Рагиба Рамисовича. Он направил меня на К-т и мрт. По результатам оказалось что хрящ в суставе сдавился и вышел. Изготовили мне капу и уже 2 недели как хожу и наконец то челюсть начала открываться, жизнь вернулась на своё русло. Следующий этап брекеты. Очень благодарна доктору и полностью согласна с его планом лечения, он мой спаситель.
6
3
Show business's response
Эмма Бабаева
Level 3 Local Expert
May 26, 2024
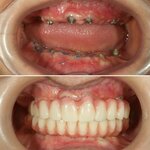
Зубы потеряла давно, и всегда мечтала о красивой улыбке. Знакомые порекомендовали Рамиля Рамисовича, попала к нему на приём и доктор порекомендовал методику имплантации всё на 4 и показал свои работы, я сразу согласилась.Доктор вкрутил мне 4 имплантата на верх и 4 вниз и через неделю одели мне временные зубы.Временные протезы очень красивые через 4 месяца будут постоянные коронки. Улыбаюсь, моему счастья нет предела. Всем рекомендую золотые руки у Рамиля Рамисовича, спасибо вам огромное
7
5
Кирилл И.
Level 6 Local Expert
June 14, 2024
Большая благодарность Рагибу Расимовичу и всей команде стоматологии ДК за профессиональный подход и качественное оказание услуг❤️ На протяжении двух лет восстанавливал зубы с помощью брикетов и сегодня их снял, что является знаменательным днем в моем календаре😂 Теперь благодаря клинике ДК я счастливый обладатель своей шикарной улыбки 😁 Всем рекомендую обращаться! Каждый специалист профессионал своего дела, от администратора и ассистентов до до врачей и учредителей клиники. Большое Вам спасибо за проделанную работу🤝
6
5
Show business's response
Рустам
Level 5 Local Expert
February 12, 2025
Посещаю стоматологию DK , когда приезжаю в Питер. Удобно есть филиал в Дербенте, живу и там и тут. Врачи профессионалы, компетентны, нет навязываний услуг, подход грамотный, люди обращаются с осложнениями от других врачей. Берутся за сложные проблемы с челюстями. Рекомендую!
2
1
Show business's response
Инкогнито 9406
Level 2 Local Expert
September 11, 2024
Хочу выразить благодарность клинике DK stom за профессионализм и индивидуальный подход к каждому пациенту, за доброе отношение, за лечение и хорошие результаты. Рамиль и Рагиб Рамисович вы лучшие доктора 👍👍👍 а администратор Заира очень хорошая и вежливая девушка🌸💓
6
2
Show business's response
Игорь Хайлов
Level 5 Local Expert
June 3, 2024
Ставил брекеты у Рагиба Рамисовича. Относил 2.5 года. Теперь зубы на месте, можно улыбаться, челюсти не хрустят. Путь долгий, но результат отличный 👍 Также делал много пломб перед брекетами, чистки, за 3 года все на месте, все хорошо. Так как клиника небольшая, летом есть продолжительный отпуск и частенько большая очередь на запись к доктору.
6
4
Show business's response
гевхер савзиханова
Level 2 Local Expert
September 11, 2024
Очень довольна качеством работы и их отношением к пациенту.Уже второй раз ставлю импланты , как свои родные зубы стоят и абсолютно безболезненно.Рада что у нас такие специалисты на высшем уровне
5
2
Show business's response
Roman B.
Level 20 Local Expert
May 3, 2025
Делали имлантацию зубов в данной клинике. Осталось неоднозначное мнение. С правой стороны сделали хорошо, а с левой осталась щель между десной и имплантом. В результате постоянно застревают остатки пищи которые тяжело удалять.
2
2
Анастасия Корнеева
Level 2 Local Expert
September 25, 2023
Уже много лет являюсь постоянным клиентом данной стоматологии. Делали чистки, отбеливания, удаления, вместе прошли 2 года лечения брекетами. Доктора в клинике очень чуткие, внимательные и профессиональные, им доверяю свои зубы. Пару раз даже засыпала в кресле во время процедур, никогда не чувствовала дискомфорта и боли. Всем советую стоматологию D.K.Stom!
8
2
Show business's response
Оксана З
Level 12 Local Expert
January 29, 2024
Обслуживание на хорошем уровне. Пришла по рекомендации, соотношение цены и качества оптимальное! Приходила на удаление восьмёрки, конечно, нервничала, но всё прошло замечательно. Доктор-душка (Сослан Анатольевич)! Такими и должны быть настоящие врачи), даже укол был не таким болючим, а как зуб удалили даже не поняла). Увы, опыт обращения к дантистам немалый, поэтому это так ценно, попасть к хорошему доктору, благодарю вас и желаю успехов и развития вашей клинике).
9
4
Show business's response
Александр Иванов
Level 2 Local Expert
May 16, 2023
Приехал отдыхать в Дербент из Санкт-Петербурга, разболелся зуб.Гид порекомендовал Стоматологию Дк, сказал что филиал стоматологии из Санкт-Петербурга.Доверился, записался, принял меня Рамиль Рамисович.Удалил зуб быстро, наложил швы, вообще не болит а думал что отпуск испорчен оказалось что нет. Спасибо огромное доктору, в Питере буду рекомендовать всем
8
2
Полина
Level 6 Local Expert
September 17, 2024
Попала в клинику случайно, так как надо было в срочном порядке удалить ретенированный зуб мудрости. Выбирала врача по отзывам через приложение, записалась к Плиеву Сослану Анатольевичу и осталась очень довольна выполнением такой сложной процедуры. Врач объяснил поэтапно как будет проходить удаление, минимизировал мои страхи и создал максимально комфортную для данной ситуации атмосферу😅 Никаких сюрпризов после удаления не было, все прошло отлично и быстро зажило, поэтому я решила удалить оставшиеся зубы мудрости у Сослана Анатольевича
6
2
Show business's response
Valeria Lebedeva
Level 7 Local Expert
April 23, 2024
Прекрасная клиника! До жути боялась удаления восьмерок, верхние удалили абсолютно безболезненно. Настоящие профессионалы, скоро приду удалять нижние!🩷
9
2
1-1 2-2
Level 17 Local Expert
December 16, 2023
Очень, очень душевно все с самой стойки регистрации и до выхода с наилучшим впечатлением от всего произошедшего!!! Работа врачебного коллектива - просто огонь!!!👍👍👍🔥🔥🔥И ни капельки не больно, и последствий, о возможности которых врач предупреждала, даже в помине не было и нет!!!
9
3
Российское Деловое Агентство
Level 9 Local Expert
December 19, 2022
Врачи и уровень обслуживания высший класс. Знакомая ставила брекеты и у неё была очень сложная ситуация, только тут смогли помочь. Делал чистку зубов, всё прошло отлично 👍🏻
6
4
excuse me excuse me
Level 6 Local Expert
January 19
Все отлично! Очень уютная и чистая клиника, приятный администратор и отличный специалист! Рекомендую!
1
мухсин а.
Level 3 Local Expert
September 1, 2022
Советую данную стоматологию всем . Очень долго терпел боль и боялся стоматологов ,так как был очень Горький опыт . Но придя в данную стоматологию по совету очень хорошего товарища ,то я ощутил на себе очень хороший сервис ,достояно высококвалифицированного врача и очень добрый персонал . И теперь могу смело говорить ,что я не боюсь стоматологов ;) а Дк советую всем . Твёрдая 5+ ;)
9
4
Show business's response
Никита Перевалов
Level 4 Local Expert
June 21, 2023
Были в Питере на экскурсии, заболел зуб, друзья посоветовали эту клинику, сказали что врачи отличные. Очень доволен, качество обслуживания на высоте, мои рекомендации.
8
3
Виолетта Полянковская
Level 12 Local Expert
November 23, 2024
Любовь Нимаева врач от Бога! Супер специалист! Очень тактичный доктор!
4
2
Show business's response
Anonymous review
October 12, 2021
Пишу отзыв в первую очередь для пациентов со стоматофобией. Рагиб Рамисович чудесный, внимательный специалист, очень бережно относится к психике пациента. Лечиться у Рагиба Рамисовича оказалось действительно не страшно, вопреки всему моему предыдущему опыту. Отдельно хочу отметить гуманный ценник. Большое спасибо!
7
3
Show business's response
spritepetrovich
Level 14 Local Expert
September 22, 2022
Здесь работают Профессионалы! Впервые в жизни я уверен, что всё будет сделано превосходно, а делать много и оно того стоит! Спасибо за будущую улыбку, от всей души!
7
3
Виктория Кошкина
Level 5 Local Expert
June 21, 2023
Восстановили зуб, как новый, спасибо большое. Теперь с такими проблемами только к вам.
8
3
Денис С.
Level 7 Local Expert
December 7, 2022
Ставил брекеты. Лечил, удалял, делал чистку. Все хорошо, доктора рекомендую
8
4
Show business's response
Сафина Нагуманова
Level 7 Local Expert
September 10, 2025
ставила брекеты,но через неделю они отпали🙁
1
2
Show business's response
Сергей Гаврилов
Level 4 Local Expert
February 8
Лучшие стоматологи
Юлия С.
Level 7 Local Expert
November 21, 2021
Прекрасный коллектив, профессионалы. Попала в своему доктору больше двух лет назад и случай был не простой, теперь он мой волшебник-спаситель✊🏻
8
3
Show business's response
Тамирлан Сафаралиев
Level 9 Local Expert
April 17, 2024
Цена и качество именно те слова подходят про это место
7
1
Наталья
Level 8 Local Expert
July 27, 2022
Рагиб Рамисович очень хороший доктор!
7
3
Show business's response
  1. 1
  2. 2