Search
Directions

Stomfest

Overview
News
11
Photos
48
Reviews
80
Features
Rating 4.7
178 ratings
Rate this place

80 reviews

By default
Maria Maximova
Level 3 Local Expert
August 22, 2025
Благодарна докторам клиники Железкову Виталию Анатольевичу и Кудрявцевой Юлии Романовне за отличную работу, лёгкие руки и внимательность, с ними не страшно и надёжно. Про «лёгкие руки» хочется отметить особенно, есть с чем сравнить, оба доктора обладают навыком не делать больно, аккуратные движения и чёткость во всём. Удаления проходят как праздник) Юлия Романовна перфекционист, вытачивает пломбы до идеала, впервые в жизни я вышла без ощущения инородного тела на зубах. Виталий Анатольевич бог удаления и имплантации, все страшилки, которые я слышала про отёки и синяки после удаления прошли меня стороной. Если вы ищете врача с которым легко и понятно, то это к нему. Отдельное спасибо всем ассистентам! Пришла по совету подруги и теперь советую всем, соотношение цена и качество на высоте! Есть небольшое замечание по администрированию, не всегда делают напоминание накануне. Но это совсем не портит впечатление, так как для меня важен не сервис, а врачебный коллектив. Желаю клинике и моим талантливым докторам процветания, успехов во всём!
Show business's response
Олег Сибирёв
Level 4 Local Expert
December 28, 2024
Выражаю огромную благодарность Виталию Анатольевичу Железкову. У меня был сложный (запущенный) случай, поэтому лечение было продолжительным. В результате было установлено семь имплантов, два моста и одна коронка. Поэтому можно сказать, что Виталий Анатольевич фактически заново восстановил мой зубной аппарат. Также благодарю всех сотрудников клиники и лично Бато Баяровича Цыбенова за добродушие и участие на финальном этапе лечения. Кстати в отличие от других, в этой клинике весьма доступные цены. Всем рекомендую эту стоматологию!
2
Show business's response
Лера
Level 5 Local Expert
December 20, 2024
лучшая клиника, в которой я когда-либо была! очень приветливые и дружелюбные врачи, знающие свое дело❤️. и после лечения кариеса, и после удаления, и даже после имплантации, чувствовала себя прекрасно. очень советую клинику всем своим друзьям и близким!🥺 особая благодарность виталию анатольевичу! самый лучший врач, с которым я прошла сквозь огонь, воду и медные трубы❤️
1
Show business's response
Антон Савельев
Level 6 Local Expert
December 10, 2024
В ноябре Удалял 8ки в данной стоматологии, очень приятный персонал. Большая благодарность Железкову Виталию Анатольевичу, профи с легкой рукой, сделает все быстро и качественно, видно, что врач любит свое дело и отдается делу на все 100% После удаления восстановление прошло без проблем, на самом приеме все было быстро и без какого либо дискомфорта.
2
Show business's response
Артем
Level 7 Local Expert
November 21, 2024
В этом году лечился у доктора Юлии Кудрявцевой: установили несколько пломб и удаляли все зубы мудрости. Всем очень доволен! Хочу отдельно выделить работу доктора Юлии и ее ассистента. Все было сделано на высшем уровне! Увидимся через год на очередной чистке🙏
2
Show business's response
Dzadzamia Teona
Level 2 Local Expert
July 21, 2025
Лечила, удаляли , ставила импланты в клинике в стоматологии на фестивальной Мари-Дент . Бато Бояровичу и Виталий Анатольевичу отдельное спасибо ! Отличные врачи доброе отношение , подобрали лечение оптимальное по цене , все специалисты которых я побывала , действительно профессионалы!
Show business's response
Екатерина Т.
Level 4 Local Expert
November 25, 2025
Спасибо за качественную, профессиональную работу! Наблюдаемся в клинике всей семьей, доктора всегда внимательны и к детям и к взрослым. Успехов и процветания!
Show business's response
Екатерина Гостева
Level 13 Local Expert
November 24, 2024
Прекрасная команда профессионалов, которые любят то, что делают. Небольшая клиника для "своих". Уверена, что сюда попадают по рекомендации. Внимательные сотрудники и великолепные доктора. Особо хочется отметить отсутствие запаха стоматологии.
2
Show business's response
Татьяна Курилова
Level 3 Local Expert
May 13, 2024
Лечилась в "стоматологии на Фестивальной" у врача Железкова Виталия Анатольевича. Хочу выразить ему большую благодарность, супер врач! мастер своего дела! Залечила у него несколько зубов и поставила один имплант. Все прошло без осложнений и на высшем уровне. Работа сделана профессионально, аккуратно, теперь у меня новый красивый зуб! Цены по всему району в стоматологии тут минимальные, что очень радует! Предусмотрена ещё система скидок. Большое спасибо доктору, теперь буду ходить только к нему.
2
Show business's response
Лариса Гутман
Level 2 Local Expert
June 10, 2023
Эта клиника произвела на меня очень хорошее впечатление. Мой лечащий врач Цыбенов Бато Баярович на основе снимков подробно и доступно рассказал мне о моих проблемах. Пришлось удалить три зуба и поставить частичные акри фри на верхнюю и на нижнюю челюсти. Я очень благодарна доктору за его мастерство, высокую ответственность и доброжелательное отношение к людям. Рабрта выполнена им прекрасно. Я быстро освоила съемные протезы, понадобилась всего одна коррекция. И еще мне понравилась атмосфера клиники - это очень приветливые сотрудники, абсолютная чистота и стерильность. При необходимости буду обращаться опять!!!) Рекомендую всем.
1
Show business's response
Олеся Соколова
Level 3 Local Expert
June 6, 2024
Лечение, протезирование, осмотр, имплантация, ходим всей семьёй. Это клиника для нас семейная. Просторная, чистая, персонал всегда отзывчивый и дружелюбный. Большая благодарность Бато Баяровичу, Бакши Арджун, Виталий Анатольевич, Юлия Романовна. Всем советуем!!! Спасибо Вам большое.
3
Show business's response
Геворгян Анна
Level 3 Local Expert
April 27, 2024
Хочу выразить огромную благодарность всему коллективу «Маридент» за доброжелательное и профессиональный подход к пациентам, за отношение. За Здоровые зубы и великолепная улыбка пациента — далеко не простая работа, но вы с ней справляетесь на ура. Я хочу выразить вам свою благодарность и от чистого сердца пожелать больше причин для веселья и улыбок, больше случаев везения и радости в жизни, успехов и благ🙏🏻
2
Show business's response
Елена Смирнова
Level 2 Local Expert
June 1, 2024
Хочу выразить огромную благодарность Железкову Виталию Анатольевичу!!! Хотелось бы отметить высокий уровень профессионализма, терпеливое , доброе отношение к пациентам, и в целом хочется отметить мне повезло, что именно эту стомклинику я выбрала, "перелопатив" многие в сао, сзао, и цао. Спасибо всем сотрудникам, Бато Бояровичу, и талантливому и перспективному доктору Железкову Виталию Анатольевичу!!!! Желаю дальнейшего развития и процветания!!!!!
1
1
Show business's response
Лена Огурцова
Level 3 Local Expert
December 21, 2023
Ставила сразу 7 имплантов у Железкова Виталия Анатольевича. Операция прошла быстро, безболезненно и комфортно! Большое спасибо персоналу! Добрые отзывчивые люди! Обстановка в клинике по домашнему теплая! Цены очень демократичные! Лечила зубы у Цыбенко Бато Бояровича, все пломбы стоят уже несколько лет! Большое спасибо!!!!
3
1
Show business's response
Ирина Алексеева
Level 10 Local Expert
August 4, 2023
Классная стоматология. Демократичные цены. Персонал очень обходительный. Все объяснят, даже показали на видео. Поставила импланты. Все замечательно. Прием по записи, как и везде. Ждать не приходится. Обслуживаюсь у них больше 15 лет. Врачи профессионалы. Рекомендую.
Show business's response
Евгений петрович
Level 6 Local Expert
August 29, 2023
Очень хорошая стоматологическая клиника.Чистая , просторная. Приветливый персонал, Врачи - профессионалы. В частности врач - стоматолог Андрей Анатольевич, очень четко и точно составил план лечения, качественно выполнили свою работу. Цены приемлемые. Я остался очень доволен. Рекомендую.
Show business's response
Ирина
Level 2 Local Expert
August 24, 2025
Хожу в эту клинику несколько лет всей семьей. Все очень понравилось, работа сделана качественно, прием быстрый, пломба красивая, незаметная, не мешает. Врач Бато Баярович - доброжелательный и с золотыми руками! Все его пломбы стоят очень долго и не беспокоят☺️ персонал приветливый и отзывчивый
1
Show business's response
Ирина
Level 3 Local Expert
June 28, 2021
Пользуюсь их услугами не первый год, ни разу не было причин отказаться. Изначально выбор в пользу клиники на Фестивальной пал из-за близости к дому, чтобы минимизировать затраты времени и сил, и обращения были разовые. Недавно завершила большую работу - установку коронок на нижние зубы, а ранее сделали и верх. Доктор Железков Виталий Анатольевич выполнил всю работу от лечения до финального протезирования. Внимательный, аккуратный, спокойный, доброжелательный, всегда пояснит что делает, как делает, каким будет результат, даст все необходимые рекомендации. При большом объеме работы выполнили все довольно быстро, в удобный для меня период времени. Если услугами клиники воспользуется кто-то еще из вашей семьи - обязательно сделают семейную скидку, она действует постоянно.
1
Belladónna Atrópa
Level 16 Local Expert
May 16, 2024
Визит в эту стоматологию оставил очень позитивное впечатление. Была с пожилой мамой, а пожилому человеку важно внимание и участие. Всё это она получила вместе с квалифицированной помощью. Виталий Анатольевич Железков — спасибо!
2
Show business's response
Dimka Sergeev
Level 3 Local Expert
May 24, 2024
Спасибо! Рекомендую! Всё было хорошо, спасибо всём докторам этой клиники. Лечился много раз у всех по немногу! Клиника чистая, персонал приветливый.
2
Show business's response
Татьяна К.
Level 3 Local Expert
September 19, 2021
В клинике нравится всё! Очень тепло встречают, а именно администратор Майа) Врач Железков Виталий Анатольевич внимательный, делает все быстро, аккуратно и качественно. Я очень боюсь стоматологов, но именно ему теперь доверяю и иду без либо-какого переживания. Всегда объяснит что делает. В клинику пришла по рекомендации и очень рада этому. Уже установили коронку, удаляли зуб мудрости , лечила зубки и далее планирую обращаться! В клинике существуют семейные скидочки. Спасибо огромное! Всем рекомендую!!!
3
315200 Мункуев
Level 4 Local Expert
November 2, 2022
Лечил зубы в этой клинике в течение 8 мес, сделали синус-лифтинг с 2 сторон, поставили 6 имплантов, циркониевые коронки на все зубы, и всё это по очень демократичным ценам. Синус-лифтинг и имплантацию сделал Железков Виталий Анатольевич, терапевтическое лечение, подготовку и установку коронок - Цыбенов Бато Баярович. 3,5 года назад по накрученной рекламе "Имплант-Сити" сходил на консультацию стоматолога, в "Имплант-Сити" меня осмотрели, сказали, что запущенный случай и насчитали лечение сроком на 1 год на сумму 1,2 млн рублей. В "Стоматологии на Фестивальной" всё лечение обошлось в 2 раза дешевле, и это спустя 3 кризисных года. Ездил в клинику из Новой Москвы и это стоило того. Очень професиональные врачи и медперсонал. Огромная Вам благодарность! Спасибо за "возвращенную" улыбку и молодость
4
Show business's response
Вика А.
Level 8 Local Expert
April 10, 2024
Отзыв спустя 2 года. Ставлю звезду конкретно врачу по имени Цыбенов Бато Баярович. Пришла на прием с болью, чувствовала холодное. Также видела, что внутри зуба образовалась черная полосочка. Врач сказал нужно почистить - это кариес. Сразу же после лечения, смотря в зеркало, вижу эту черную полосочку, он сказал что пройдет. Пришла через 1-2 недели с вопросом «почему у меня до сих пор чувствуется боль??» ответил : «ну у каждого по-разному проходит, у кого-то 10 дней, у кого-то год..нерв просто был задет, пройдет». Прошло 2 года, зуб болит, вернулась сейчас из другой клиники. Вернулась без это «черной полоски» просто потому, что это была не черная полоска изначально, а гнойный пульпит. Удалили конечно нерв. Кто знает, как могло бы это обернуться, если бы изначально врач в Стоматологии на фестивальной все пролечил, может и не пришлось бы удалять нерв..в общем, не спасибо совсем(
2
2
Show business's response
Katy Gost
Level 11 Local Expert
October 8, 2021
Обратилась в клинику по рекомендации для установки импланта. Попала в надёжные руки прекрасного доктора Виталия Анатольевича Железкова. Такого аккуратного стоматолога я ещё не встречала. Очень нравится оснащение и персонал клиники: лечение стараются сделать максимально комфортным. Используют современные технологии, например, для лечения зуба на верхней десне доктор одел на зуб "платочек" и его изолировал. И ему было удобно и мне! 👍 Администраторы тоже на "высоте"👍 всегда приветливые и внимательные. Оповещение и напоминание о записи приходит в соц.сети. Рекомендую!!! 👍👍👍
2
1
Anonymous review
June 25, 2021
Выражаю огромную благодарность всему коллективу клиники, а также отдельно высококлассным специалистам Виталию Анатольевичу, за качественно проведенную операцию по установке имплантов для протезирования и Бато Баяровичу за само протезирование, за их внимательное и чуткое отношение. Бесконечное спасибо за то что делают свою работу с индивидуальным подходом и учётом пожеланий клиента. У вас золотые руки. Большое спасибо Акматовой Айкан за тёплое и внимательное отношение, а администратору Елене за безупречную работу. К вам всегда приятно приходить.
2
Vlastelinsha Kolec
Level 14 Local Expert
August 17, 2025
Отлично! Рекомендую! Очень теплое отношение к посетителям. Ответы на вопросы от специалистов, а у меня вопросов было много. После составленного плана лечения, пришлось экстренно обратиться к хирургу. Спасибо за помощь! Попробуйте и будете приятно удивлены!
Show business's response
Алиана
Level 7 Local Expert
April 18, 2024
Моё многолетнее путешествие по стоматологическим клиникам закончилось, когда я посетила эту клинику.Все врачи очень хорошие,грамотные выполняют свою работу на совесть.Рекомендую от души ,особенно врачей Цыбенов Бато Баярович и Железков Виталий Анатольевич.
1
Show business's response
Туяна
Level 6 Local Expert
December 26, 2021
Делала коронки 4-5 лет назад, делала у двух врачей Цыбенова Бато Баяровича и Железкова Виталия Анатольевича, врачи дружелюбные, приветливые, отношение к пациентам хорошее, но качество коронок и протезирования оставляет желать лучшего. Сейчас консультируюсь в разных клиниках, везде говорят - нужно переделывать, коронки сделали так, что образуются карманы, куда забивается еда, от этого соседние здоровые зубы пострадали от кариеса, хотя я регулярно прохожу зубной нитью между зубов, карманы почистить увы и ах - невозможно. Также неплотное прилегание между коронкой и соседним зубами. Как мне сказали в других клиниках, коронки могут служить до 15 лет, здесь же сразу говорили про 5 лет....что настораживает, по свежим снимками видны недолеченные каналы под коронками. Сейчас этот вопрос можно решить только имплантами. К сожалению, профессионализм стоматологов выясняется по истечению времени и вытекает вот в такие последствия. Что касается терапии, мне лечил зубы врач, который у них давно не работает, пломбы очень хорошие, стоят до сих пор, но тоже пора менять, так как стачиваются от жевания.
7
1
Show business's response
Анна Р.
Level 8 Local Expert
May 27, 2021
Хорошая стоматология. У них есть телевизор, в котором видно все свои зубки - это круто, мне понравилось. И цены вполне себе демократичные. Делала себе реставрацию переднего зуба, держится уже лет 10. Пломбы тоже все держатся. Муж делал импланты - жалоб нет. Без проблем сделали справку для вычета налогов.
1
Зинеддин Зидан
Level 8 Local Expert
November 22, 2021
Очень помогли! У пожилой мамы сняли мост и остался острый зуб. В вск ездили по району, искали, где обточить. То не работают, то запись… позвонил на Фестивальную. Нашли окошко, обточили зуб за 3 минуты и не взяли не копейки. Спасибо огромное! Очень порадовало отношение.
1
Show business's response
Катя Маякова
Level 7 Local Expert
March 6, 2021
Давно хотела написать отзыв, с декабря 2020 года. Делала в этой клинике брекеты, у меня сместились нижние зубы из-за зубов мудрости( не сильно страшная ситуация), обещали сделать за год , в итоге провозились с моими зубами 2 года, сказали , что исправлять ситуацию можно каппами , либо носить брекеты ещё (сколько не ясно), пришлось сменить ортодонта в другой клинике, так как результат меня не устраивал . Хочу сказать , что врач была доброжелательна к клиентам, но самое главное для меня - результат , которого не было . Может мне так не повезло, может опыта было мало. Моим друзьям сняли за 1-1,5; у кого была хуже ситуация , чем моя, было очень обидно, что отдаю деньги , а результата все нет.(Особенно вопросы друзей: нам уже сняли, почему тебе так тянут?) Когда только делали Брекеты, цена была за снятие 35.000, (каппы+ретейнеры+снятие) , а после пандемии стала резко 45.000, могли бы для старых клиентов оставить прежнюю цену, тоже странно было. Так что подумайте, прежде чем идти ставить себе брекеты. Идите через знакомых, которые уже ставили себе Брекеты, что я и сделала. Мне за 2 месяца исправили ситуацию и сняли, капы + снятие+ретейнеры= мне обошлось в 20.000. Единственное хочу сказать, больше спасибо врачу Цыбенову Бато Бояровичу, просто профессионал своего дела , который удалил мне зубы мудрости , быстро и не больно. Можете довериться ему в Удаление зубов мудростей.
4
Show business's response
Валерия М.
Level 2 Local Expert
April 17, 2024
Уютная стоматология, врачи и ассистенты очень приветливые. Была на приеме у доктора Юлии Романовны, врач все подробно рассказала, предупредила, тщательно провела диагностику. Само лечение было безболезненным, в процессе даже удалось поспать) Всем рекомендую Стоматологию на Фестивальной
1
Show business's response
Марина К.
Level 4 Local Expert
September 20, 2022
Ужасная клиника. Лечащим врачом был Цыбенов Бато Баярович. Пришла с острой болью. Сделали снимок. Врач сказал мне, что у меня ужасное воспаление,киста. Надо сначала спасать зуб,а потом разбираться с кистой. На русском плохо разговаривает, непонятно что говорит, бубнит себе под нос. Сказал,что нужно лечить зуб другой с кариесом. В другой день пришла на лечение. Пломбу мне поставили тяп-ляп за пару минут. Между зубами дыра и забивается пища. Инструменты все грубо кладет врач на грудь, в первые вижу такое. На реакцию, что мне больно, врач никак не реагировал. Больше туда приезжать я не собираюсь. Сходила в другую клинику, очень ею довольна. Киста у меня маленькая, уберется буквально за несколько месяцев и без операций. Зуб, который был «вылечен» от кариеса, на переделку. Спасибо, большое СТОМАТОЛОГИИ НА ФЕСТИВАЛЬНОЙ, как раз не знала, куда мне деньги потратить.
2
6
Show business's response
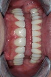
егор малыш
Level 9 Local Expert
September 18, 2022
Цена и качество. Любое мед учреждение , это его специалисты. Описывать зубные болезни проблемы не буду. Делал зубы у Виталия Жезкова , вот его работа. На фото зубы мои, до и после лечения ) Записатся и сходить на консультацию осмотр (что бы понять фронт работ) можно легко. А решение вам самим принимать.
Show business's response
Алексей Г.
Level 5 Local Expert
April 17, 2024
Качество работ и специалисты высшего уровня!! Посетив различные стоматологии остановился именно тут. Всем рекомендую👍
1
Show business's response
Ирина К.
Level 2 Local Expert
May 19, 2018
Замечательное место!Стала ходить по совету знакомой и не пожалела.Атмосфера начинает нравится уже с администратора клиники.Теплый прием,своевременное оповещение о записи.Отдельная благодарность за отличную работу и отношение Дольгану Юрьевичу.Я всегда боялась и не любила ходить к зубным врачам,но такой профессиональный подход меняет на это взгляд.
3
1
Юлия Ф.
Level 3 Local Expert
February 9, 2017
Мне очень далеко до них добираться. И несколько раз уже лечила зубы в других местах. А как показал опыт, потом все таки бросаю все и приезжаю сюда, что бы мне все качественно переделали. Врачи замечательные. Цены мне кажется средние. У меня были ситуации когда делали дороже, а здесь уже исправляли.
3
ИРИНА Л.
Level 4 Local Expert
November 2, 2021
Очень много лет как я узнала про клинику "Стоматология на Фестивальной". И за последние десятилетия клиника становится всё лучше и лучше. Лечимся всей семьей рекомендую друзьям. Доброжелательные врачи профессионалы своего дела. Особенно благодарны Бато Баяровичу Цыбенову!
3
1
Show business's response
alexratkin
Level 3 Local Expert
November 1, 2024
Очень хорошая стоматология. Профессиональные специалисты. Хожу туда примерно лет 15.
2
Show business's response
Нина П.
Level 4 Local Expert
July 22, 2019
Недалеко и удобно (мне с ул. Лавочкина, с работы). Приняли поздно вечером, спасибо, помогли очень. Зуб сильно болел, думала нужно удалять. Нет зуб спасли. Спасибо, вы очень хорошие мастера.
4
1
Show business's response
Лариса Л.
Level 3 Local Expert
August 20, 2021
Много лет являемся клиентами клиники Стоматология на Фестивальной. Лечимся всей семьей. Коллектив доброжелательный, врачи профессионалы своего дела, Особенно доверяем и благодарны Бато Баяровичу Цыбенову!
2
Евгения Николаева
Level 7 Local Expert
October 23, 2022
Хожу лечить зубки, поставила импланты. Сейчас еще в процессе установка имплантов. Всем советую эту клинику. Делают всё качественно, перелечивать не приходится. Сходите, не пожалеете.
1
1
Show business's response
инф ш.
Level 2 Local Expert
August 5, 2019
Очень хорошие врачи,совершенно не больно лечили. Мне понравились и доктора и обслуживание. Второй раз пришла к врачу, спасибо, очень довольна. Удобно добралась от м. Речной вокзал.
3
1
Show business's response
Иракли Сирбиладзе
Level 3 Local Expert
June 13, 2025
Отличная клиника! Очень бережно относятся к пациентам!
1
Show business's response
Елизавета
Level 3 Local Expert
April 25, 2021
Очень понравилась клиника! Оказание услуг, атмосфера - все на высшем уровне, лечимся всей семьей. Отдельно хочется отметить врача Цырена Сергеевича - спасибо Вам огромное!
1
Татьяна Приходько
Level 12 Local Expert
January 22, 2024
Есть компьютерная томография, цены наверное из-за этого дорогие на услуги, все-таки дорогое оборудование, надо как то окупать его
1
Show business's response
Анастасия Смирнова
Level 7 Local Expert
September 26, 2025
Замечательная стоматология с отличными врачами 👍 Рекомендую!
Show business's response
Азат
Level 7 Local Expert
July 27, 2022
Был на приеме у Цыбенова Бато Бояровича. отличный специалист. Удалил, остатки зуба с образовавшейся кистой. Провел тщательную консультацию рассказал все нюансы по дальнейшему лечению и имплантации. Клиника очень хорошо оборудованна, чисто. персонал вежливый. Спасибо за оказанные услуги. Рекомендую однозначно👆
Арина Заморина
Level 6 Local Expert
November 20, 2021
Безумно понравился приём. Я даже и не заметила, как мне вылечили зуб. Персонал с уважением относится к клиентам. Обязательно приду ещё.
1
Show business's response
Ангелина Ангел
Level 6 Local Expert
April 13, 2024
Записалась за неделю, при ехала на такси, чтоб не дай Бог, не опоздать. Зашла, мне сказали садитесь ожидайте. Я спросила почему, я ведь за неделю записалась , в ответ ни слова, администратор просто взяла свой телефон, и стала общаться по своим личным делам... очень жаль.. давно такого сервиса не видела...
1
5
Show business's response
  1. 1
  2. 2